Полезное

Переливание крови у собак и кошек с анемией

Анемия — это состояние снижения способности крови переносить кислород, которое может быть вызвано абсолютным снижением количества эритроцитов (RBC), концентрации гемоглобина или объёма эритроцитов (PCV). В этой статье представлен обзор рекомендаций по переливанию крови для пациентов собак и кошек, страдающих анемией.

Автор перевода: Степанова Любовь, ветеринарный врач-трансфузиолог, руководитель банка крови лаборатории «Поиск»

Источник: «Blood Transfusions in Anemic Dogs and Cats», Rebecca Nusbaum, CVT, VTS (ECC) – «Today’s Veterinary Nurse», May 12, 2021

Подробнее

Ксенотрансфузия крови от собаки кошке: должна ли собачья кровь быть первым выбором для переливания кошке в экстренных ситуациях?
Несмотря на возможность определения группы крови у кошек, в некоторых странах все еще практикуется переливание собачьей крови кошкам. Ксенотрансфузия эффективна, даже если ее эффект длится всего несколько дней, и не связана с серьезными побочными эффектами. Это устраняет необходимость определения группы крови и, что самое важное, позволяет избежать передачи внутривидовых инфекционных агентов, в частности вируса лейкемии кошек (FeLV). 
Подробнее

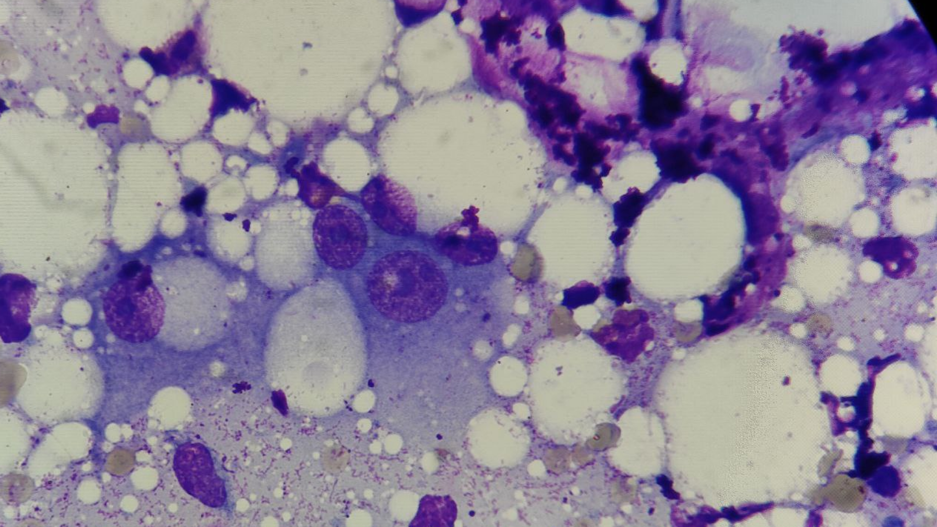
Что даёт цитологическая диагностика: всесторонний эпидемиологический ретроспективный анализ 3068 случаев у кошек

Мы перевели свежую зарубежную статью, в которой проанализированы более 3000 разнообразных цитологических образцов кошек из множества ветеринарных клиник Португалии. Авторы сообщают частоту информативных цитологий, долю неопластических цитологических диагнозов, а также оценивают, как пол, возраст и порода влияют на встречаемость различных типов цитологических заключений.

Статья даёт ценное представление о том, как крупные мультицентровые исследования помогают выявлять закономерности в ветеринарной практике и почему цитология остаётся важным инструментом первичной диагностики.

Подробнее

Сальмонеллёз и веротоксин: симптомы и методы диагностики
Продолжаем рассказывать о комплексном ПЦР-исследовании в нашей лаборатории – панель «Кишечная патогенная флора». В предыдущей статье мы рассмотрели симптомы, пути передачи и методы диагностики кампилобактериоза и клостридиоза (энтеротоксин А). А сегодня поговорим о сальмонеллёзе и веротоксине.
Подробнее

Кампилобактериоз и клостридиоз (энтеротоксин А): симптомы и методы диагностики
Панель «Кишечная патогенная флора» – это комплексное ПЦР-исследование в нашей лаборатории, выявляющее некоторые бактерии микрофлоры кишечника и их токсины, которые могут приводить к развитию кишечных инфекций и связанных с ними заболеваний. В статье мы подробно разберём два вида бактерий: кампилобактериоз и клостридиоз (энтеротоксин А). Рассмотрим их симптомы, пути передачи и методы диагностики.
Подробнее

Страницы: 1 2 3 4 5 ... 15 След.